It has been a mixed last 12 months - hence the 1.5 back pain rating. There were times when I had almost zero pain, but then others when it was unbearable enough that I needed to take Ibuprofen and Celebrex.
One consistent trend I've noticed is that I has stiffness and tightness first thing in the morning. As the day progresses and I'm just working from my desk, the pain dissipates. I recently purchased a 'moist' back warmer and try to apply this 30 minutes before I go to sleep and 15 minutes before I get out of bed, to see if this will improve.
Still swimming and cycling, but not running much - as there is post pain back from this. In terms of swimming, I've stopped working on my butterfly and breaststroke in an attempt to see if this is the reason for my back pain.
I think a lot of my back pain can be attributed to an active lifestyle around the house - cleaning, playing with kids etc.
One consistent trend I've noticed is that I has stiffness and tightness first thing in the morning. As the day progresses and I'm just working from my desk, the pain dissipates. I recently purchased a 'moist' back warmer and try to apply this 30 minutes before I go to sleep and 15 minutes before I get out of bed, to see if this will improve.
Still swimming and cycling, but not running much - as there is post pain back from this. In terms of swimming, I've stopped working on my butterfly and breaststroke in an attempt to see if this is the reason for my back pain.
I think a lot of my back pain can be attributed to an active lifestyle around the house - cleaning, playing with kids etc.
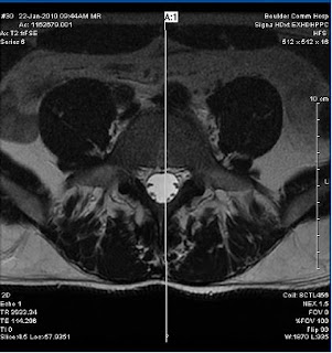
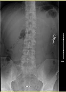
Had my 2 year follow up with MRI and X-ray's last week and I have posted the images below. The surgeon (Dr V) was surprised that the L4 and L5 bones showed signs of improved health ( 2 years ago they both took a beating from the wear and tear on them). The disc is still degenerating but it's seems to have slowed somewhat.
I think the Wallis system is a long term fix for me - having that support and 'gap' between L4 and L5 will ensure the rate of demise of my back is slowed, but it's not a short term fix.
I continue to find my physical therapy exercises are an amazing way to relive the pain and try to do this daily to improve core abdominal strength.
Below are the MRI and X-Ray images:
I think the Wallis system is a long term fix for me - having that support and 'gap' between L4 and L5 will ensure the rate of demise of my back is slowed, but it's not a short term fix.
I continue to find my physical therapy exercises are an amazing way to relive the pain and try to do this daily to improve core abdominal strength.
Below are the MRI and X-Ray images:
(MRI courtesy of BCH)
(MRI courtesy of BCH)
(X-Ray courtesy of BCH)
(X-Ray courtesy of BCH)
(X-Ray courtesy of BCH)
(X-Ray courtesy of BCH)

No comments:
Post a Comment